Website
Discussions

Gleamer, la solution

Le problème
à résoudre

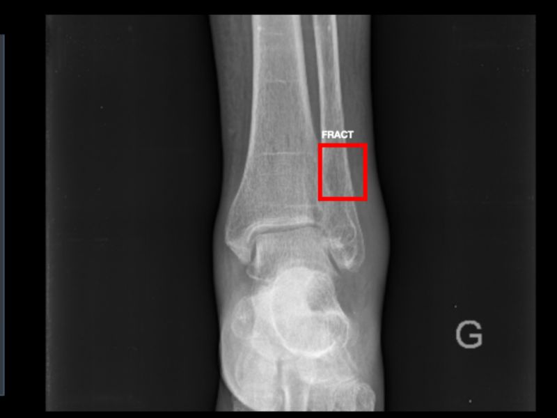
Votre assistant AI pour les radiographies des traumatismes osseux.

Précis

99,7% de valeur prédictive négative.

Complet

Diagnostic automatisé et comptes rendus détaillés.

Efficace

La solution réduit le risque de manquer des fractures de 30%.

Une solution adaptéeEt tellement plus
prod-airsaas/vkjudyfuhfvou3vcl9ea
Leur équipe
prod-airsaas/fwnkypglwzihtuiekvym
Leur plateforme
Their last achievements:
press-article
L'intelligence artificielle pour aider un radiologue à mieux faire son travail
Blasting News
Cette start-up française a développé une technologie de pointe qui permet aux radiologues de gagner en précision et rapidité. Entretien
press-article
Gleamer lève 7,5 millions d'euros pour diffuser son IA qui assiste les radiologues
Les Echos
Pour lancer la commercialisation de BoneView, le premier logiciel issu de sa plateforme d'intelligence artificielle qui semi-automatise le diagnostic en radiologie standard, Gleamer annonce ce jeudi sa première levée de fonds, bouclée à 7,5 millions d'euros. En vue d'obtenir la validation de la FDA pour le marché américain courant 2021, l'entreprise innovante va lancer, début octobre, une étude clinique d'évaluation aux Etats-Unis.
press-article
E-santé: Gleamer lève 1,5 million d'euros pour automatiser les diagnostics des radiologues
FrenchWeb.fr
Le montant La startup française Gleamer, qui édite un logiciel d'intelligence artificielle à destination des radiologues, annonce une levée d'1,5 million d'euros menée par XAnge et Elaia Partners et à
press-article
Gleamer assiste le radiologue et sécurise son diagnostic avec l'IA
Les Echos
En vue de commercialiser dès l'été 2019 la première application de sa plate-forme d'intelligence artificielle, dédiée aux radiologues en traumatologie, la start-up annonce, ce lundi, avoir bouclé une levée de fonds de 1,5 million d'euros, menée par XAnge et Elaia Partners.
ceo-img
24
9,3M
2017
Updated less than three months ago